你知道吗?在我们的身体里,有一个地方叫做胃肠道,它可是我们消化食物的大本营呢!但是,你知道吗?有时候,这个大本营里也会出现一些不速之客,它们就是胃肠道间质瘤。今天,我就要给你来个全方位的胃肠道间质瘤视频讲解,让你对这个小家伙有个清晰的认识!
什么是胃肠道间质瘤?
首先,得给你科普什么是胃肠道间质瘤。简单来说,它是一种起源于胃肠道间质细胞的肿瘤。听起来有点复杂,其实呢,就是这些肿瘤细胞在我们的胃肠道壁上“安营扎寨”,开始它们的不法行径。
胃肠道间质瘤的症状
你知道吗?这个不速之客可不是那么好相处的。它可能会给你带来一些不太舒服的症状,比如:
消化不良:感觉胃里像是装了石头,吃不下东西。
腹痛:肚子疼得像是被针扎了一样。
腹泻或便秘:有时候拉肚子,有时候又便秘,真是让人头疼。
体重下降:不知道为什么,就是瘦了下来。
如果你发现自己有这些症状,可要小心了,这可能是胃肠道间质瘤在向你发出信号哦!
胃肠道间质瘤的诊断
那么,怎么才能知道是不是真的得了胃肠道间质瘤呢?这就需要医生来帮忙了。医生会通过以下几种方法来诊断:
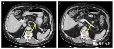
影像学检查:比如CT、MRI等,可以清晰地看到肿瘤的位置和大小。
内镜检查:通过一根细长的管子,直接观察胃肠道内部的情况。
病理学检查:取一小块肿瘤组织,在显微镜下观察,确定是不是胃肠道间质瘤。
胃肠道间质瘤的治疗
一旦确诊为胃肠道间质瘤,就要开始治疗了。治疗方式主要有以下几种:
手术切除:这是最常见的治疗方法,将肿瘤连同周围的一小部分正常组织一起切除。
药物治疗:对于不能手术或手术后复发的患者,可以使用药物治疗,比如酪氨酸激酶抑制剂。
放疗和化疗:对于晚期患者,可能会使用放疗和化疗来控制肿瘤的生长。
胃肠道间质瘤的预防
虽然目前还没有很好的预防方法,但是我们可以通过以下几种方式来降低患病的风险:
健康饮食:多吃蔬菜、水果和粗粮,少吃油腻、辛辣的食物。
适量运动:保持良好的生活习惯,增强体质。
定期体检:及时发现身体的不适,尽早治疗。
通过以上的讲解,相信你对胃肠道间质瘤有了更深入的了解。这个小家伙虽然让人头疼,但只要我们及时发现、积极治疗,就能战胜它!所以,一定要关注自己的身体健康,定期体检,让这个不速之客远离我们的生活!
文章声明:以上内容(如有图片或视频在内)除非注明,否则均为国产日韩欧美原创文章,转载或复制请以超链接形式并注明出处。
本文作者:admin本文链接:https://www.nddzxdiany.com/post/656.html



